整形外科副部長 岡本昌典
立ち上がりや歩き始めに脚の付け根に痛みを感じていませんか? その痛みの原因は股関節の軟骨がすり減っているためかもしれません。
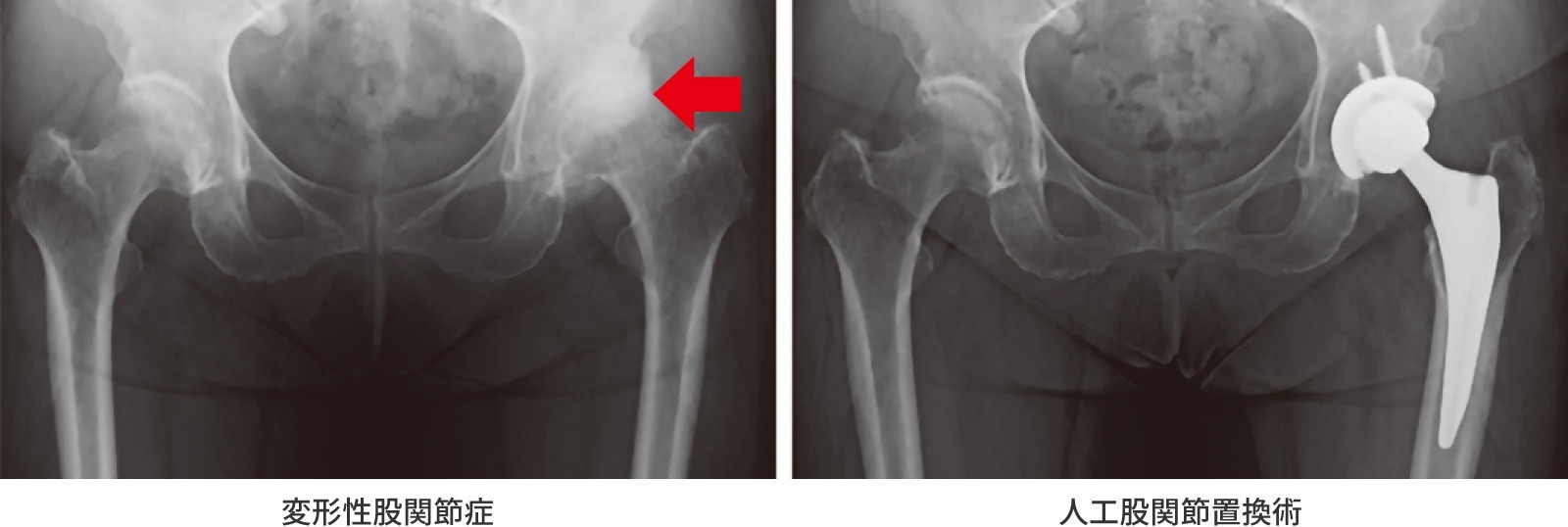
股関節は、立つ・歩く・座るといった日常生活を支える大切な関節です。しかし、加齢や長年の負担、体重増加、骨盤の形などが原因で股関節の軟骨がすり減り骨同士がぶつかり合うことで痛みや動きの制限が現れます。これが『変形性股関節症』です。患者さんの多くは女性で、日本人の殆ど(約8割)は大腿骨を覆う骨盤の被さりが浅い臼蓋形成不全がその原因です。
症状は、初期では「少し痛む」「休むと楽になる」 程度ですが、進行すると爪切りや靴下を履くのが難しい、階段や車・バスの乗り降りに手すりが必要になるなど日常生活にも支障が出てきます。さらに痛みが強くなると、夜間痛や歩行障害にもつながります。ただし痛みの場所に注意が必要です。放散痛といって脚の付け根だけでなく太もも・膝・腰に痛みを感じることがあるため、痛みの原因が股関節と気が付かないでいることもあります。簡単な見分け方として、あぐらをかこうとした時に痛みを感じたら股関節が原因かもしれません。病院やクリニックでは、問診や診察の後にレントゲン写真で軟骨のすり減りや関節の変形をみて診断します。
治療は、まずは手術以外の方法を行います。変形性股関節症と診断されたら、股関節の負担を減らして大事に使いましょう。関節に過度な負担のかかる動作を制限し、また過体重の方はダイエットを考えましょう。ただ筋肉が衰えると関節が不安定となり症状が悪化することがあるため、適度な筋肉トレーニングを行うことが重要です。負担が少なく筋力が強化できる水中歩行がおすすめです。他に痛みを減らすために関節注射や痛め止めの薬を使います。体にメスを入れずに痛みや制限なく生活できるなら、それが一番だと考えます。
手術は、手術以外の方法でも症状が取れないときに考えます。一般的に行われるのは人工股関節置換術です。現在日本では年間78,000件以上行われています。痛みの原因となる関節を人工物に入れ替えることで、痛みをとる効果と機能改善効果が期待できます。最近では人工関節が入っていることを忘れて日常生活を送れることが治療目標と言われています。
当院の人工股関節置換術は、全て術前に3Dシミュレーションソフトを用いて綿密な計画を立て、患者さんに適したインプラントを選択しています。また、手術時にはコンピュータ支援ナビゲーションシステムを活用し、インプラントの設置精度の高い手術を目指しています。股関節への進入方法として後方アプローチまたは前方アプローチを採用し、関節の変形程度やニーズに応じて選択しています。手術後は翌日から歩く訓練を始めて、10 日前後で杖なし歩行か 1 本杖歩行が安定したところで退院を予定しています。
昔は「人工関節は10年しか保たない」とよく言われたものでしたが、いまは耐久年数が飛躍的に改善して、15 年たっても9割以上の方は保つと報告されています。ただ現在でも活動性の高い10代~30代の方では人工関節の緩みが問題であり、若い方には自分の関節を温存する骨切り手術を勧められます。
脚の付け根の痛みで苦しんでいる方は「いつか治るだろう」「年齢だから仕方ない」と我慢せずに、まずはぜひお近くの整形外科を受診してください。快適な日常を送れるように、痛みのない股関節を手に入れる方法はないか相談してみましょう。
お知らせ
肥満症外来についてお知らせ
外来診察予定表を更新しました休診・受入停止
休診案内を更新しました。詳細はこちらをご覧ください。お知らせ
無痛分娩(計画無痛分娩)についてお知らせ
ご寄附に対するお礼お知らせ
外来診察予定表を更新しましたお知らせ
キャッチコピーの策定についてお知らせ
外来診察予定表を更新しましたお知らせ
外来診察予定表を更新しましたお知らせ
外来診察予定表を更新しました