脳神経内科部長 中西浩隆
最近、アルツハイマー病に対する画期的な治療法が登場しましたので、簡単にご紹介させていただきます。
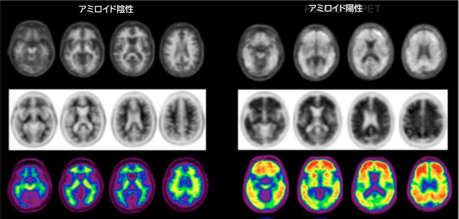
アルツハイマー病は脳内にアミロイドβ蛋白が蓄積し、その結果、神経細胞死が起こり、脳機能が低下するとされています。もともと、アミロイドβ蛋白は正常な脳内でも産生・分解されており、その平衡が崩れると異常にアミロイドβ蛋白が増加し、固まった異常蛋白がプラークとなり脳内に沈着して神経細胞死を起こしてしまいます。実際に認知症状を発症する20年ほど前から、アミロイドβ蛋白の蓄積は起こっていると考えられており、早期に治療介入することが重要と思われます。
最近、保険承認された、抗アミロイドβ抗体薬である、レカネマブやドナネマブは蓄積した異常なアミロイドβ蛋白を除去する作用がある薬です。ただし、症状の改善効果があるわけではなく、症状の進行抑制効果を期待して使用する薬剤であることには注意が必要です。厳格に適応患者像も決められており、症状が進行した状態では使用することができません。また、投与前には、アミロイドPET検査や髄液検査で、アミロイドβ蛋白の異常蓄積を確認する必要があります。
当院でも十数名の患者さんに投与開始していますが、いずれも大きなトラブルなく導入できております。認知症を疑う患者さんがいらっしゃる際には、当院地域連携室までご連絡いただき、「ものわすれ外来」のご活用もご検討ください。
図は、Chapleau M, et al. J Nucl Med 2022;63(Suppl 1):13S-19Sより作成
お知らせ
肥満症外来についてお知らせ
外来診察予定表を更新しました休診・受入停止
休診案内を更新しました。詳細はこちらをご覧ください。お知らせ
無痛分娩(計画無痛分娩)についてお知らせ
ご寄附に対するお礼お知らせ
外来診察予定表を更新しましたお知らせ
キャッチコピーの策定についてお知らせ
外来診察予定表を更新しましたお知らせ
外来診察予定表を更新しましたお知らせ
外来診察予定表を更新しました